Oglas

Paralija: U Federaciji BiH u 2021. godini od tuberkuloze oboljele 293 osobe

author
FENA
18. sep. 2022. 11:07
tuberkuloza
FENA | FENA

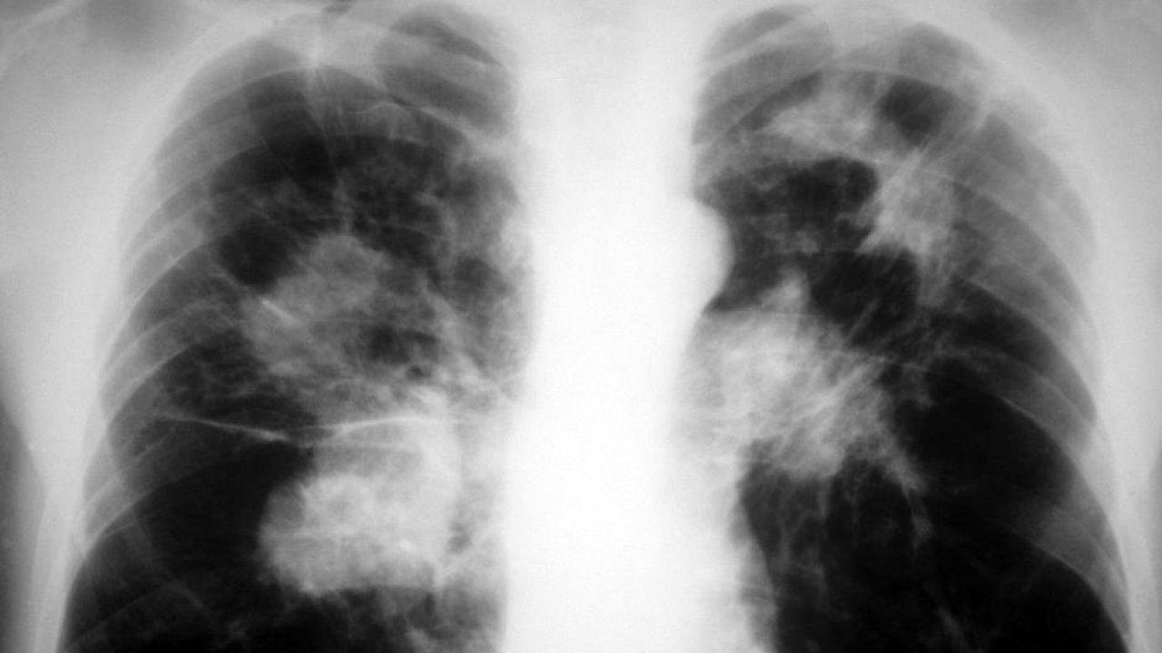
Tuberkuloza je bolest koja se danas dosta lako dijagnosticira. Važno je uzeti dobru anamnezu i obaviti pregled pacijenta, načiniti laboratorijske nalaze i RTG snimak pluća. Analiza biološkog materijala na tuberkuloznu klicu i dalje ostaje prva metoda za postavljanje dijagnoze - kazala je Feni šefica Klinike za plućne bolesti i tuberkulozu "Podhrastovi" KCUS-a prof. dr Belma Paralija, specijalista pneumoftiziolog, bronholog, povodom Sedmice borbe protiv tuberkuloze.

Oglas

Prof. Paralija je pojasnila da biološki materijal može biti iskašljaj, što je i najčešće, ali i bilo koji drugi uzorak, kao što je ispirak bronha, želudačni sadržaj, bris rane, gnoj, urin, feces, pleuralna tečnost, ascit, cerebrospinalni likvor, materijal uzet biopsijom žlijezda ili drugih tkiva itd.

- Identifikacija Mycobacterium tuberculosis se radi u Mikobakteriološkom laboratoriju putem direktne mikroskopije, što je najjeftinija i najbrža metoda, a zasijavanje biološkog materijala na hranjive podloge i dobijanje kultura biološkog materijala ostaje zlatni standard za potvrdu dijagnoze tuberkuloze - kazala je prof. Paralija.

Ona je u razgovoru za Fenu istakla da se tuberkuloza danas u većini slučajeva tretira dostupnim lijekovim i obično se izliječi.

- Smrtni ishod može nastupiti ako se ljudi ne liječe adekvatno. Veliki problem predstavlja tuberkuloza otporna na lijekove i liječenje takve osobe traje duže, lijekovi nisu uvijek dostupni i skupi su - kazala je Paralija.

Prema njenim riječima, DOTS strategija (Direktno opservirani kratkotrajni kurs liječenja) je najefikasnija strategija koja je na raspolaganju za kontrolu epidemije TB danas.

- DOTS je najefikasniji i najekonomičniji kontrolisani vid liječenja, brzo pretvara zarazne slučajeve u nezarazne i razbija lanac transmisije. Svaki bolesnik mora uzimati terapiju pod direktnim nadzorom stručnog medicinskog osoblja barem tokom intenzivne faze liječenja da bi se izbjegla rezistencija klice na lijekove. Sve vrste tuberkuloze se liječe po šestomjesečnom ili osmomjesečnom režimu (trajanje liječenja je duže ako se radi o ponovnom obolijevanju od tuberkuloze) - istakla je prof. Paralija.

Govoreći o poređenju sa ranijim periodom, prof. Paralija je kazala kako je broj oboljelih od tuberkuloze u blagom opadanju.

- U 2021. godini u Federaciji BiH su registrirane 293 oboljele osobe od tuberkuloze, a u Kantonu Sarajevo 61 osoba. Trenutno na Klinici za plućne bolesti i tuberkulozu se liječi devet pacijenata (pacijent se inače hospitalizira radi započinjanja liječenja u toku inicijalne faze i do negativizacije iskašljaja, odnosno do prestanka zaraznosti). Od početka 2022. godine do sada na Klinici je liječeno 45 pacijenata koji su nastavili svoje liječenje u kućnim uslovima i pod nadzorom nadležnog Pneumoftiziološkog dispanzera. Dužina liječenja ove bolesti je šest ili osam mjeseci (liječenje je duže ukoliko se radi o ponovnom obolijevanju od tuberkuloze). Jedan pacijent je tokom 2021. liječen od multirezistentne tuberkuloze, a liječenje u ovom slučaju traje 18 mjeseci. Na Klinici za plućne bolesti i tuberkulozu je ovaj pacijent liječen pet mjeseci, a tretman je nastavljen u kućnim uslovima pod nadzorom nadležnog specijaliste za plućne bolesti - kazala je Paralija.

Sedmica borbe protiv tuberkuloze obilježava se svake godine od 14. do 21. septembra, a ovogodišnji moto je "Investirajte u okončanje tuberkuloze. Spasite živote."

Tuberkuloza (TB) je zarazna bolest uzrokovana lako savijenim, tankim, aerobnim, nepokretnim, štapićastim uzročnikom, koji ne stvara spore, a pripada porodici Mycobacteriaceae. Od svih patogenih vrsta, koje pripadaju Mycobacterium tuberculosis (M. TB) kompleksu, najčešći i najznačajniji uzročnik bolesti kod ljudi je M. tuberculosis. Bolest može zahvatiti bilo koji organ, ali je najčešća lokalizacija u plućima.

Dr Robert Koch je 1882. godine otkrio bakteriju koja uzrokuje tuberkulozu, što je otvorilo put u daljem dijagnostikovanju i liječenju.

Bolest se širi kapljičnim putem, kada zaraženi plućnom TB kašlju, kišu ili govore. Istovremeno se radi o slabo kontagioznoj bolesti i njena prenosivost ovisi od broja prisutnih klica u iskašljaju, kao i od imunog stanja osobe. Bliski kontakti (oni sa prolongiranim, čestim ili intenzivnim kontaktom sa oboljelim od plućne TB) imaju najveći rizik od zaražavanja. Bakterije se prenose kapljičnim jezgrama u zrak i mogu ući u disajne puteve. Većina bacila se zadrže u gornjim partijama disajnih puteva, a treplje na površini ćelija nastoje da ih odstrane, što predstavlja inicijalnu fizičku prvu liniju odbrane koja sprečava infekciju kod većine kontakata sa pacijentima oboljelim od plućne tuberkuloze. Bakterije u malim kapljicama mogu zaobići mukocilijarni sistem i dosegnuti do plućnih mjehurića (alveola), brzo bivaju okružene i progutane od strane alveolarnih makrofaga, koji pripadaju urođenom imunom sistemu i koje su spremne za promptno djelovanje. Ovo rezultira uspješnom kontrolom infekcije, a infekcija rijetko progredira u aktivnu bolest, koju nazivamo primarnom progresivnom plućnom TB (česta je kod male djece).

Rizične skupine koje češće obolijevaju od tuberkuloze su djeca, trudnice, imunokompromitovane osobe, dijabetičari, HIV inficirane osobe. Bolest se lakše prenosi u zatvorima, kolektivnim smještajima.

Kada osoba oboli od tuberkuloze glavni simptomi su hronični kašalj, subfebrilne temperature, noćno znojenje, gubitak na težini, gubitak apetita, ponekad bol u prsima, a može se javiti i krvav iskašljaj.

U opšte mjere za sprečavanje i suzbijanje bolesti uvrštava se: osiguranje socijalnog i ekonomskog blagostanja naročito u onim segmentima koji izravno utiču na obolijevanje od tuberkuloze (prenapučenost, loša prehrana); općenito adekvatnu ishranu, suzbijanje alkoholizma i narkomanije, osiguranu zdravstvenu zaštitu za sve kategorije stanovništva, kao i sve druge mjere provođenja higijene u prevenciji bilo koje druge zarazne bolesti.

Pod posebnim preventivnim mjerama podrazumijeva se zdravstveno obrazovanje o prevenciji zaraznih bolesti (u svim ambulantama bi se mogli postaviti edukacioni plakati o tuberkulozi, načinu prenošenja, prevenciji); rano otkrivanje izvora zaraze i puteva prenošenja (laboratorijski i rendgenski pregledi oboljelih kontakata i osoba za koje se sumnja da su oboljele, pregledi sumnjivih slučajeva prije stupanja na posao itd), zdravstveni nadzor nad kliconošama i kontaktima, imunizacija (BCG vakcinaciji obavezno podliježe novorođenčad unutar 12-24 sata po rođenju, odnosno djeca do pet godina života, koja nisu iz bilo kog razloga do tada vakcinisana). BCG vakcina štiti od obolijevanja od teških formi tuberkuloze (npr. tuberkuloza moždanih ovojnica).

Više tema kao što je ova?

Kakvo je tvoje mišljenje o ovome?

Učestvuj u diskusiji ili pročitaj komentare

Pratite nas na društvenim mrežama